銀歯からセラミックへ!交換するメリットやセラミックの種類
2025年10月09日(木)
歯のコラム
こんにちは。岡山市北区津島西坂の歯医者「MAEDA DENTAL CLINIC」です。

歯の治療に使用される銀歯は、日本の保険診療で一般的に採用されてきた素材です。
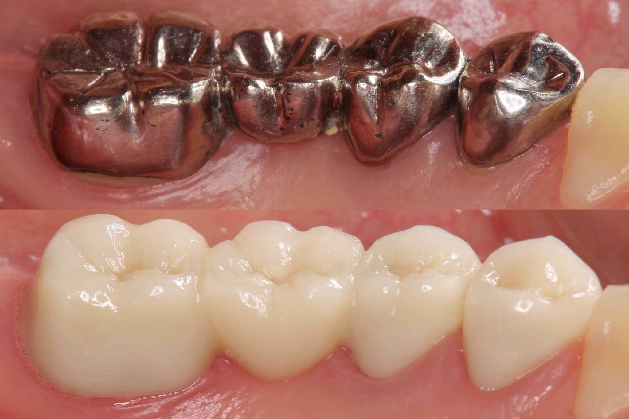
しかし、近年では審美性や健康面の理由からセラミック歯への交換を希望する人が増えています。銀歯は強度に優れ、安価に治療が行える一方で、口をあけたときに目立ちやすく、金属アレルギーのリスクもあります。
それに対して、セラミックは自然な白さと透明感を持ち、変色しにくく、長期的に美しい歯を保ちやすい素材として注目されています。
今回は、銀歯からセラミックに交換するメリット・デメリット、治療の流れについて詳しく解説します。
銀歯とは

セラミックとの違いを理解するためには、まず銀歯の特徴を知ることが大切です。
銀歯とは、虫歯治療などで削った歯に詰め物や被せ物として使用される、金銀パラジウム合金などの金属製の修復物を指します。
保険適用が認められているため、安価に治療できる点が最大の利点です。金属は強度が高く、奥歯など噛む力が強くかかる部分に使用されています。また、加工がしやすく、治療期間も短く済むことが多いのが特徴です。
しかし、銀歯にはいくつかの欠点もあります。時間の経過とともに金属イオンが溶け出し、歯や歯茎を黒ずませることがあります。また、歯と金属の境目にわずかな隙間が生じやすく、そこから細菌が侵入して再び虫歯になるリスクもあります。
さらに、金属アレルギーを起こす可能性もあり、健康志向が高まるなかで見直されつつあります。
このような理由から、見た目と健康を両立できるセラミック歯への交換を選ぶ方が増えているのです。
銀歯からセラミック歯に交換するメリット

銀歯からセラミック歯へ交換することには、見た目の自然さだけでなく、長期的な健康面でも多くのメリットがあります。ここでは、銀歯からセラミック歯に交換する主なメリットについて詳しく見ていきましょう。
見た目の改善が図れる
セラミック歯の最大の魅力は、やはり自然で美しい見た目です。銀歯は金属の光沢が強く、笑ったときや話したときにどうしても目立つことがあります。特に前歯や口を開けたときに見える奥歯に銀歯があると、清潔感や若々しさが損なわれることがあります。
一方、セラミックは天然の歯に近い色調と透明感を再現できるため、非常に自然な仕上がりになります。また、変色しにくく、美しい状態を長期間維持できるのも大きな利点です。審美面を重視する方にとって、セラミックは理想的な選択肢といえるでしょう。
金属アレルギーのリスクがない
銀歯は金銀パラジウム合金などの金属で作られており、長期間口の中にあると、金属イオンが溶け出して体内に取り込まれることがあります。これが原因で金属アレルギーを発症することがあります。原因不明のかゆみや発疹が出る場合、銀歯が一因である可能性もあるのです。
オールセラミックやジルコニアなどのセラミック素材は金属を含まないため、アレルギーの心配がありません。また、歯茎の黒ずみや金属腐食による変色も起こらないため、健康面・審美面ともに優れています。
虫歯や歯周病になりにくい
銀歯は、天然歯との境目に隙間ができやすく、そこから細菌が侵入して再度虫歯ができることがあります。これを二次虫歯と呼びます。
一方、セラミックは土台となる歯との密着度が高く、細菌が入り込みにくいため、虫歯の再発を防ぎやすいのです。
さらに、セラミックの表面は非常に滑らかで、プラーク(歯垢)が付きにくいです。これにより、歯周病のリスクも軽減できます。結果として、セラミック歯は見た目だけでなく、歯の健康を長期的に維持するのに有効です。
銀歯からセラミックに交換するデメリット

セラミックには多くの利点がありますが、注意すべき点も存在します。ここでは代表的なデメリットをご紹介します。
費用が高くなりやすい
銀歯は保険が適用されるため、費用は2,000円〜5,000円前後で済みます。
その一方でセラミック歯は自由診療(保険適用外)であるため、1本あたり5万〜15万円程度と費用が高くなりがちです。
しかし、セラミック歯は長期的に劣化しにくく、虫歯の再発も少ないため、再治療のリスクを低減できます。そのため、将来的なコストパフォーマンスを考えると、必ずしも費用が高いとはいえないでしょう。
噛み合わせの調整が必要
セラミックは硬く丈夫な反面、強い噛みしめや歯ぎしりがあると割れることがあります。そのため、噛み合わせの調整を丁寧に行う必要があります。
歯ぎしりの癖がある人は、ナイトガードと呼ばれる専用のマウスピースを装着することで、セラミック歯への負担を軽減できます。適切な調整とケアを行えば、セラミック歯を長く快適に使用できます。
割れる可能性がある
セラミックは見た目が美しく、耐久性にも優れた素材ですが、金属と比べると衝撃に弱いという一面があります。
強い力で硬い食べ物を噛んだり、歯ぎしりをしたりすると、欠けたり割れたりすることがあるのです。特に、氷やナッツ、飴などを思いきり噛むと、思わぬトラブルにつながることもあります。
ただし、近年はジルコニアと呼ばれる非常に強度の高いセラミック素材が登場しており、従来よりも破損のリスクは大幅に低下しています。
とはいえ、日常生活のなかで少し気をつけることが大切です。硬い食べ物を避けること、定期的に歯科検診を受けて状態を確認してもらうことで、セラミック歯を長くきれいに保つことができます。
セラミック歯の種類

セラミック歯と一口に言っても、実はいくつかの種類があります。それぞれに異なる特徴があり、見た目の美しさや耐久性、費用の面でも違いがあります。ここでは代表的なものを順に見ていきましょう。
オールセラミック
オールセラミックとは、その名の通り、すべてがセラミックでできた素材です。
金属が含まれていないため、金属アレルギーの心配がなく、歯茎が黒ずむこともありません。最大の特徴は、まるで天然の歯のような透明感とツヤのある仕上がりで、特に前歯のように見た目が重要な部分に使用されることが多いです。
また、変色しにくく、長期間にわたって美しい状態を保てる点も魅力の一つです。審美性を重視したい方や、笑ったときに自然な印象を与えたい方の選択肢となるでしょう。
ジルコニア
ジルコニアは非常に硬く、強度と耐久性に優れたセラミック素材です。奥歯など噛む力の強い部位にも使用されます。見た目も白く、審美性も高いですが、オールセラミックよりはやや透明感に欠ける傾向があります。
ハイブリッドセラミック
ハイブリッドセラミックは、セラミックとレジンを混ぜ合わせた素材で、柔軟性があります。費用が抑えられるため、コストパフォーマンスを重視する方に選ばれています。
ただし、経年劣化や変色の可能性があるため、長期的な美しさを求める場合は他の素材を検討するとよいでしょう。
銀歯をセラミックに交換する流れ

銀歯をセラミックに交換する際の一般的な手順をご紹介します。
カウンセリング・診察
まずは歯科医院で口腔内の状態を確認します。歯や歯茎の健康状態をチェックし、どの種類のセラミックを選択するか相談します。
土台の処置
銀歯を除去したあと、歯の土台を整えます。必要に応じて補強を行い、セラミックが安定して装着できるように形を調整します。
型取り
セラミック歯を作るためには、まず正確な型取りを行う必要があります。これは、患者さん一人ひとりの歯の形や噛み合わせを正確に再現するための大切な工程です。
その後、歯科技工士がセラミック歯を作製し、患者さんの歯にぴったり合うよう精密に仕上げていきます。型取りの精度が高いほど、装着後の違和感が少なく、美しく自然な仕上がりになります。
セラミックの装着
完成したセラミック歯を試着し噛み合わせを確認したうえで、専用の接着剤で固定します。装着後は、セラミック歯を長く使うためにも、定期的に歯科医院でメンテナンスを受けることが重要です。
まとめ

銀歯からセラミック歯へ交換することは、見た目の美しさだけでなく、お口の中の健康を守るうえでも大きな意味があります。
セラミックは自然な白さと透明感を持ち、金属アレルギーの心配もありません。さらに、虫歯や歯周病のリスクを減らす効果も期待できるため、長い目で見てメリットの大きい選択といえるでしょう。
たしかに、費用面では銀歯に比べて負担が大きくなりますが、その分、見た目の印象や快適さ、そして将来的なメンテナンスの少なさを考えると、決して無駄な投資ではありません。
セラミックにもいくつかの種類があるため、自分の歯の状態や希望に合わせて素材を選ぶことが大切です。まずは信頼できる歯科医師に相談し、しっかりと説明を受けたうえで、自分に合った治療法をじっくり検討してみてください。
セラミック治療を検討されている方は、岡山市北区津島西坂の歯医者「MAEDA DENTAL CLINIC」にお気軽にご相談ください。
当院は予防中心型歯科診療で歯とお口を守ることを第一にご家族のどの世代にも優しく、より良い歯科医療を提供することを目指しています。