歯周外科治療とはどんな治療?必要なケースやメリット・デメリット
2026年01月29日(木)
歯のコラム
こんにちは。岡山市北区津島西坂の歯医者「MAEDA DENTAL CLINIC」です。

「歯周病の治療を受けているけれど、なかなか症状が改善しない」「外科手術が必要と言われたものの、どんな治療なのか分からず不安」と感じていませんか。
この記事では、歯周外科治療の内容や必要となるケース、メリット・デメリット、治療期間や費用について分かりやすく解説します。歯周病の進行を抑え、大切な歯を守るための参考にしてください。
目次
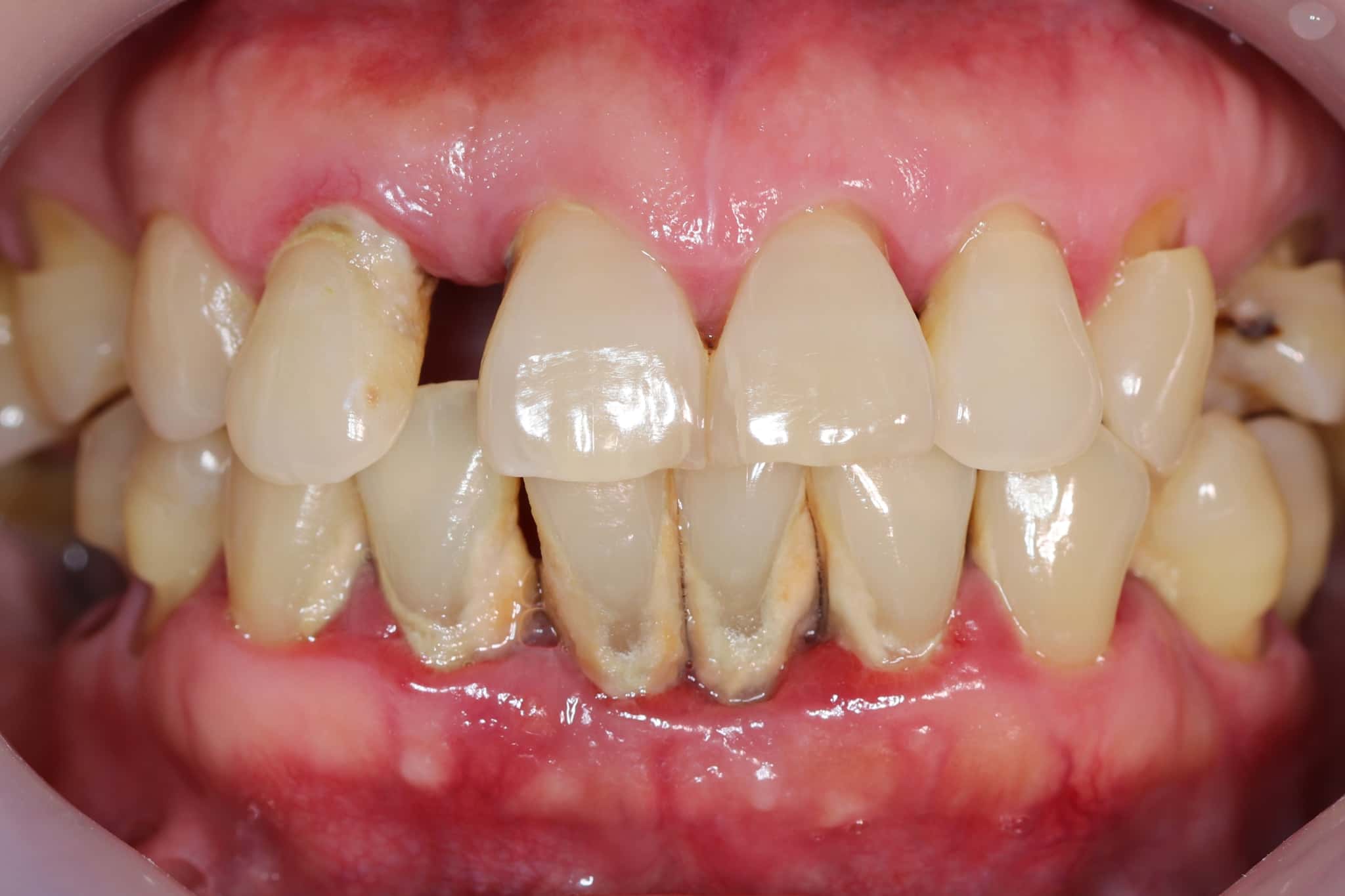
歯周外科治療とは

歯周外科治療とは、歯周病が進行し、通常の歯周病治療だけでは十分な改善が難しい場合に行われる外科的な治療です。歯茎や歯を支える骨の状態を直接確認しながら処置を行い、歯周病の進行を抑え、歯をできるだけ長く保つことを目指します。
歯周外科治療が必要になる理由
歯周病は、歯を支えている歯茎や骨が少しずつ破壊されていく病気です。初期の段階であれば、歯石除去やブラッシング指導といった基本的な治療によって改善が期待できます。
しかし、進行すると歯周ポケット(歯と歯茎の間の溝)が深くなり、歯ブラシや通常の治療器具が届かない部分が生じます。そうした場所に歯石や細菌が残り続けると、きちんとケアしていても炎症がなかなか治まらず、症状が長引くことになります。
歯周外科治療では、歯茎を一時的に開いて歯の根の状態を直接確認しながら処置を行います。これにより、歯周病の原因となる歯石や感染した組織をしっかり取り除くことができ、より確実な治療につながります。
外科治療で行う主な処置
代表的な治療法には、フラップ手術や歯周組織再生療法があります。症状によっては、歯茎の形態を整える歯肉形成を併用することもあります。
フラップ手術は、歯茎を切開して歯根面を露出させ、歯周ポケットの奥に付着した歯石や感染組織を直接除去する方法です。歯周組織再生療法は、歯周病によって失われた歯槽骨や歯周組織の回復を目的とした治療で、特殊な薬剤や材料を使用して歯を支える組織の再生を目指します。
これらの治療は局所麻酔を用いて行われるため、処置中に強い痛みを感じることはほとんどありません。
歯周外科治療の適応となるケース

歯周外科治療は、歯石除去やルートプレーニングなどの基本治療を行っても、十分な改善が得られず、歯周ポケットが深いまま残っているケースで検討されます。さらに、歯槽骨(歯を支える骨)の吸収が進んでいるケース、歯茎の形態に問題があり清掃が難しいケースも適応となります。
歯周外科治療のメリット

治療によって得られる主なメリットは、以下のとおりです。
歯石や感染組織を確実に除去できる
歯周外科治療を行うことで、歯周ポケットの奥に残っていた歯石や感染源を取り除けるので、歯茎の炎症が落ち着きやすくなります。歯周病の原因がしっかり取り除かれることで、治療後の状態が安定しやすくなり、腫れや出血を繰り返すといった悩みの改善につながります。
治療後のケアとメンテナンスがしやすくなる
歯周ポケットが深いままだと、定期的にクリーニングを受けていても汚れが残りやすく、毎日の歯磨きだけでは十分に清掃できない状態が続きます。歯周外科治療によってポケットが浅くなると、普段の歯磨きで汚れを落としやすくなり、自宅でのケアもしやすくなります。
お口の環境が整うことで良い状態を保ちやすくなり、結果として歯周病の再発リスクを抑えられるでしょう。
歯を支える組織の回復を目指せる
歯周組織再生療法を併用した場合、歯周病によって失われた歯槽骨や歯周組織の回復を目指すことができます。歯を支える土台が安定することで、噛む機能が保たれ、歯の寿命を延ばせる可能性が高まります。
見た目の改善も期待できる
歯周外科治療では、歯茎の形態を整える処置を行うこともあります。歯茎のラインが整うことで、口元の印象が自然になり、清潔感のある見た目につながります。
将来的な歯科治療の負担を軽減できる
歯周外科治療によって歯周病の進行を抑えられれば、抜歯のリスクを低下させることができます。歯を残せる可能性が高まることで、将来的にインプラントや義歯などの大がかりな治療を回避できる場合があり、治療負担の軽減にもつながります。
歯周外科治療のデメリット

歯周外科治療は多くの利点がある一方で、事前に理解しておきたい注意点もあります。治療を検討する際には、メリットだけでなくデメリットについても把握しておくことが大切です。
術後に痛みや腫れが出ることがある
外科的な処置を伴うため、治療後に痛みや腫れが生じる場合があります。多くは数日から1週間ほどで落ち着きますが、処置範囲が広い場合には、症状がやや長引くこともあります。
通常は、処方された痛み止めを適切に服用することで日常生活への影響は抑えられますが、治療直後は食事内容や生活面で一時的な配慮が必要です。
知覚過敏が現れる場合がある
歯周外科治療後は、歯茎の位置が変化して歯根の一部が露出することがあり、その影響で冷たい飲み物や甘いものがしみやすくなることがあります。多くの場合、時間の経過とともに症状は落ち着いていきますが、違和感を覚える可能性がある点を理解しておきましょう。
治療結果には個人差がある
歯周外科治療は高い効果が期待できる治療ですが、すべてのケースで同じ結果が得られるわけではありません。特に、歯周組織再生療法では、年齢や全身の健康状態、生活習慣などが治癒の経過に影響します。
また、喫煙習慣がある場合や全身疾患を抱えている場合には、組織の回復が緩やかになる可能性もあります。
費用負担が大きくなることがある
歯周外科治療のうち、基本的な処置は保険診療の対象となるのが一般的です。
しかし、歯周組織再生療法など高度な治療は自由診療となる場合があり、使用する材料や治療範囲によって費用が高くなることもあります。そのため、事前に治療内容と費用について十分な説明を受け、納得したうえで進めることが重要です。
歯周外科治療にかかる期間

歯周外科治療にかかる期間は、治療内容や対象となる部位の範囲によって異なりますが、一般的にはいくつかの段階を経て進められます。ここでは、治療全体の流れと目安となる期間について説明します。
歯周外科治療に進む前に、まずは歯石の除去やルートプレーニング、ブラッシング指導などを行い、歯茎の炎症をしっかり落ち着かせます。この期間はおよそ1〜3か月ほどで、外科処置の効果を高めるためにも欠かせない大切なステップです。
外科処置にかかる時間は、治療する部位の数や範囲によって異なりますが、1か所あたりおよそ1〜2時間が目安です。複数の部位を治療する場合は、身体への負担を考えて数回に分けて行うこともあります。
処置後は傷口の状態を確認しながら経過を見ていき、通常は1週間〜10日ほどで抜糸を行います。この間は、治癒を妨げないように治療した側での咀嚼を控えたり、激しい運動を避けたりといった注意が必要です。
抜糸が済んだ後も、歯茎の組織が完全に落ち着くまでには時間がかかります。状態が安定するまでの目安は、1〜3か月ほどです。
歯周組織再生療法を併用した場合は、さらに長い経過観察が必要になります。骨や歯周組織が再生するまでには数か月〜半年以上かかることもあり、定期的な診察やレントゲン検査で回復の様子を確認していきます。
そのため、最終的な治療効果の評価までの期間は、手術から半年〜1年ほどかかるケースもあります。
歯周外科治療にかかる費用

歯周外科治療の費用は、治療の内容や範囲、保険診療か自費診療かによって大きく異なります。
フラップ手術など標準的な歯周外科治療の多くは、保険診療の対象となります。保険が適用される場合、3割負担の方で1か所あたり数千円から1万円程度が目安です。ただし、初診料や再診料、レントゲン検査、処方薬などの費用は別途必要になることがあります。
一方、歯周組織再生療法など、より専門的な治療では自費診療となる場合があります。自費診療の場合、1か所あたりおおよそ5万円から15万円程度かかるケースもあります。
歯茎の形態を整える治療も、審美的な目的が主となる場合には自費診療となることが一般的で、1か所あたり3万円から10万円程度が費用の目安です。
まとめ

歯周外科治療とは、進行した歯周病に対して行われる専門的な外科治療で、歯を残す可能性を高める重要な選択肢です。
歯周病は早期発見・早期治療が大切な病気です。歯茎の腫れや出血、違和感が気になる場合は、早めに歯科医院で相談し、ご自身に合った治療方法を検討していきましょう。
歯周外科治療を検討されている方は、岡山市北区津島西坂の歯医者「MAEDA DENTAL CLINIC」にお気軽にご相談ください。
当院は予防中心型歯科診療で歯とお口を守ることを第一にご家族のどの世代にも優しく、より良い歯科医療を提供することを目指しています。当院の診療案内ページはこちら、WEB予約も受け付けておりますので、ご活用ください。