むし歯の早期発見に努め、拡大鏡やマイクロスコープを使って最小限の削除で治療します。極細の麻酔針や電動麻酔器で痛みを軽減し、患者さまに合った詰め物・かぶせ物をご提案します。
歯周病は気づきにくい病気です。当院では歯周病治療に関して専門のトレーニングを受けた歯科医師と歯科衛生士が担当し、ブラッシング指導や歯石除去を徹底します。必要に応じて外科処置や再生療法も行い、全身の健康にも配慮した治療を提供します。
目立ちにくく取り外し可能なマウスピース矯正を提供。口腔内スキャナーと3Dシミュレーションで治療前のイメージ共有ができます。わかりやすい料金プランを用意しています。
お子さまが安心して通える雰囲気づくりを重視。痛みを抑えた治療と分かりやすい説明を心がけ、むし歯予防に力を入れています。ファミリー診療室も完備しています。
成長期の矯正は将来の負担軽減につながります。お子さまに合った装置を選択し、MFTで筋肉バランスを整え、健やかな顎の成長をサポートします。
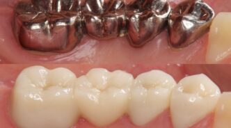
セラミックなど歯に近い素材で美しさと機能性を両立。口腔内スキャナーで精度の高い仕上がりを実現します。
院内での施術と自宅でのケア、両方のホワイトニングを提供。歯や歯ぐきに配慮した施術と、効果を長持ちさせるアドバイスも行います。
丁寧なクリーニングと定期検診で歯の健康を維持。歯周病治療に関して専門トレーニングを受けた歯科衛生士が担当し、ライフスタイルに合わせた予防アドバイスも提供します。
CT撮影で安全性を確認しながら、失った歯の機能を回復。両隣の歯を削らず自然な噛み心地を実現します。自家歯牙移植も含め、最適な選択肢をご提案します。
個人に合わせた入れ歯を作製。違和感を減らすための丁寧な調整と、快適に使い続けるためのサポートを行います。
マイクロスコープや精密機器を用いて歯の神経治療を行い、自分の歯を長く維持できるよう努めます。
さまざまな原因に対応した口臭対策を提供。測定器で原因を特定し、適切な治療とケア方法をアドバイスします。
事前検査で安全性を確認し、なるべく負担の少ない方法で外科処置を行います。
精密な診断に基づき、口の機能全体を考慮した治療計画を立てます。
顎の痛みや音に対応し、スプリント装置や生活習慣の改善でサポートします。
歯ぎしりや噛み締めによる顎の疲労に対して、筋肉の緊張を和らげる治療を提供します。
通院困難な方のために、自宅や施設での診療を行い、快適な食生活をサポートします。